Người phụ nữ nguy kịch bởi nhiễm 'khuẩn ăn thịt người'

30/12/2025
|
0 lượt xem
Sức Khỏe Tin Tức
Người phụ nữ nguy kịch bởi nhiễm 'khuẩn ăn thịt người'

Bệnh nhân ngụ quận 8, sốt cao, khó thở kéo dài 3 ngày, sau đó suy hô hấp, được chuyển đến Bệnh viện Nhân dân Gia Định, gần một tháng trước.

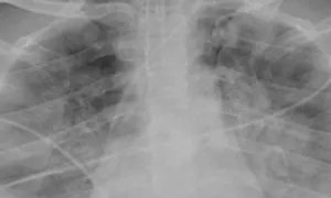
Ngày 10/10, Ths.BS Phó Thiên Phước, Khoa Hồi sức tim mạch, cho biết bệnh nhân tổn thương phổi lan tỏa hai bên, diện tích gần 70% thể tích hai phổi, giảm oxy máu nặng, biểu hiện hội chứng nguy kịch hô hấp cấp, nguy cơ phải can thiệp ECMO (máy hồi sức tim phổi).

Kết quả cấy máu dương tính với vi khuẩn Burkholderia pseudomallei gây bệnh Whitmore. Đây là bệnh truyền nhiễm rất nguy hiểm, tỷ lệ tử vong cao. 4 ngày điều trị "trúng đích" vi khuẩn Whitmore, tổn thương phổi và tình trạng suy hô hấp nặng cải thiện ngoạn mục. Sau 7 ngày thông khí xâm lấn, bệnh nhân cai máy thở thành công và dần phục hồi gần như hoàn toàn.

Cô có thói quen đi chân trần trên mặt đất khi tập thể dục ở công viên để tăng sự nhạy cảm của chân và giúp phần cơ chắc khỏe. "Có lẽ vì thói quen này mà tôi bị nhiễm vi khuẩn", người phụ nữ chia sẻ.

Xquang phổi của bệnh nhân trước (bên trái) và sau khi điều trị (bên phải). Ảnh: Bệnh viện cung cấp

Vi khuẩn gây bệnh Whitmore còn được gọi khuẩn "ăn thịt người", thường ghi nhận ở các nước khí hậu nhiệt đới như vùng Đông Nam Á, Bắc Australia... Thống kê gần đây tại Thái Lan, Singapore, tỷ lệ bệnh nhân tử vong do nhiễm khuẩn huyết bởi tác nhân này lên đến 40-50%. Nếu nạn nhân bị viêm phổi nặng, nguy cơ tử vong có thể lên đến 75%.

Bệnh Whitmore thường lây truyền qua tiếp xúc với đất, nước bị nhiễm khuẩn và thường xuất hiện ở bệnh nhân có sức đề kháng suy giảm như đái tháo đường, bệnh thận mạn, nghiện rượu... Chẩn đoán sớm, điều trị tích cực đúng tác nhân ngay từ đầu sẽ giúp cải thiện ngoạn mục tiên lượng của người bệnh, tránh nguy cơ phải can thiệp các phương thức hồi sức đắt tiền và xâm lấn như ECMO.

Hiện, bệnh Whitmore chưa có vaccine tiêm phòng, cũng chưa có bất kỳ khuyến cáo nào về sử dụng kháng sinh dự phòng. Vi khuẩn thường sống trong đất, đặc biệt là đất ẩm và nước ô nhiễm. Khi có vết thương hở, vi khuẩn dễ dàng xâm nhập vào cơ thể, gây nhiễm trùng. Ban đầu, bệnh có thể chỉ gây ra các triệu chứng nhẹ như sốt, ho, đau cơ. Nếu không được điều trị kịp thời, bệnh tiến triển nặng, gây tổn thương nhiều cơ quan, thậm chí tử vong.

Bác sĩ khuyến cáo người dân khi làm việc ngoài trời, cần trang bị đầy đủ bảo hộ lao động như găng tay, ủng để tránh tiếp xúc trực tiếp với đất và nước bẩn. Nếu không may bị trầy xước hoặc có vết thương hở, cần rửa sạch bằng nước sạch và xà phòng, băng bó, đến cơ sở y tế để được khám, điều trị kịp thời.

Lê Phương

Tin liên quan
Tin Nổi bật